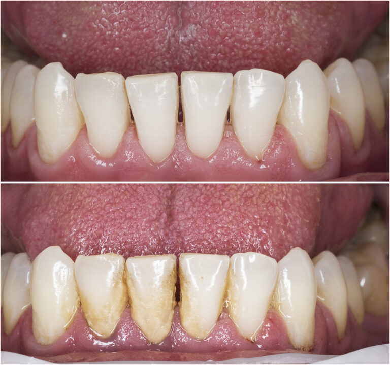
Higienizacja jamy ustnej to niezbędny zabieg stomatologiczny, który pomaga w utrzymaniu zdrowych zębów i dziąseł. W Boguszewska Dental przeprowadzamy profesjonalną higienizację, zapewniając kompleksową opiekę.
Przebieg zabiegu higienizacji:
1. Badanie stanu jamy ustnej – Ocena zębów i dziąseł w celu wykrycia problemów.
2. Usuwanie kamienia nazębnego – Za pomocą skalera ultradźwiękowego usuwamy kamień nazębny nad i pod linią dziąseł.
3. Piaskowanie zębów – Usuwanie osadu i wygładzanie zębów.
4. Polerowanie zębów – Eliminacja przebarwień i wygładzenie powierzchni.
5. Nitkowanie – Usuwanie resztek płytki nazębnej z przestrzeni międzyzębowych.
6. Fluoryzacja – Wzmacnianie szkliwa zębów, zapobiegając próchnicy

Dlaczego higienizacja jest ważna?
Regularna higienizacja pomaga zapobiegać próchnicy i chorobom dziąseł. Zalecamy przeprowadzanie zabiegu przynajmniej raz w roku, w zależności od indywidualnych potrzeb.
Zadbaj o zdrowy uśmiech w Boguszewska Dental!
Regularne wizyty i odpowiednia higiena domowa zmniejszają ryzyko problemów stomatologicznych, pozwalając cieszyć się zdrowym uśmiechem przez lata.
Zadbaj o swój zdrowy uśmiech w Boguszewska Dental i skorzystaj z bezpłatnej konsultacji*.
Profesjonalna opieka stomatologiczna czeka na Ciebie!